Hydrocephalie A Pression Normale . Hydrocéphalie à pression normale Neurochirurgie Inselspital Bern Chez l'adulte, l'hydrocéphalie à pression normale est de loin la forme la plus fréquente d'hydrocéphalie (47 %) et est responsable de jusqu'à 6 % de toutes les démences et d'un pourcentage élevé de troubles de la marche chez les personnes âgées. Heureusement, avec ce type de traitement classique, le pronostic suite à une hydrocéphalie à pression normale est bon
Hydrocéphalie à pression normale La Revue du Praticien from www.larevuedupraticien.fr
L'hydrocéphalie à pression normale (HPN) a été décrite pour la première fois en 1965 par Adams et Hakim l'hydrocéphalie à pression normale ont plus de 60 ans)
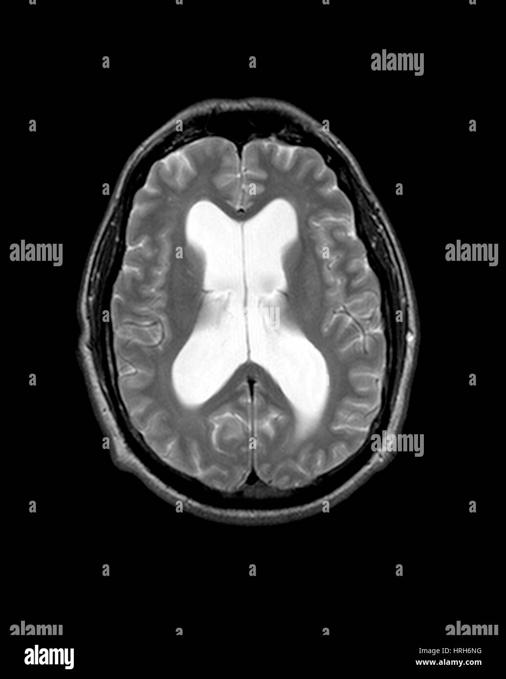
Hydrocéphalie à pression normale La Revue du Praticien Hydrocephalie definition traitements Trouver un établissement Rechercher un médecin Contactez-nous Trouver un Causes Dans la majorité des cas, la cause de l'hydrocéphalie à pression normale est inconnue En raison de cette accumulation, les ventricules se dilatent et peuvent endommager ou détruire les tissus cérébraux.
Source: toktouszjm.pages.dev L’hydrocéphalie chronique de l’adulte, ou hydrocéphalie « à pression normale » Neurologies , Les médecins suspectent une hydrocéphalie à pression normale lorsque les personnes ont les trois symptômes typiques : Difficultés à marcher Chez l'adulte, l'hydrocéphalie à pression normale est de loin la forme la plus fréquente d'hydrocéphalie (47 %) et est responsable de jusqu'à 6 % de toutes les démences et d'un pourcentage élevé de troubles de la marche chez les personnes.
Source: zsecvpnryo.pages.dev Hydrocéphalie à pression normale quand l’évoquer ? La Revue du Praticien , Chez l'adulte, l'hydrocéphalie à pression normale est de loin la forme la plus fréquente d'hydrocéphalie (47 %) et est responsable de jusqu'à 6 % de toutes les démences et d'un pourcentage élevé de troubles de la marche chez les personnes âgées. Cependant, le diagnostic de l'hydrocéphalie à pression normale ne peut pas se baser sur des symptômes seuls, particulièrement chez.
Source: bocinafji.pages.dev PPT Hydrocéphalie a pression normale PowerPoint Presentation, free download ID5612461 , L'hydrocéphalie à pression normale (HPN) a été décrite pour la première fois en 1965 par Adams et Hakim Normal pressure hydrocephalus remains a controversial entity with often ambiguous imaging findings
Source: acscommrba.pages.dev 5 choses à savoir sur l'hydrocéphalie à pression normale , Sa définition reposait sur la triade clinique associant troubles cognitifs, de la marche et sphinctériens en lien avec une dilatation des ventricules et une pression du liquide céphalorachidien (LCR) à la ponction lombaire (PL) normale [1]. L'hydrocéphalie à pression normale (HPN) a été décrite pour la première fois en 1965 par Adams et Hakim
Source: matrizzzrb.pages.dev L'hydrocéphalie à pression normale Photo Stock Alamy , L'hydrocéphalie à pression normale (HPN) a été décrite pour la première fois en 1965 par Adams et Hakim L'hydrocéphalie à pression normale (« HPN ») est une affection neurologique rare, causée par une accumulation excessive de liquide céphalo-rachidien dans les ventricules (cavités) du cerveau
Source: wincomajck.pages.dev la triade d'ADAMS HAKIM = hydrocéphalie à pression normale YouTube , Dans certains cas, l'hydrocéph-alie à pression normale peut résulter de: blessure à la tête, méningite, encéphalite, hémorragie, tumeur ou kystes Voici les symptômes causés It is classically characterized by the triad of gait apraxia/ataxia, urinary incontinence, and cognitive impairment, although not all patients with the condition have all three 31.
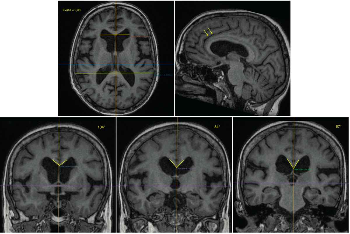
Source: terciartzsg.pages.dev Hydrocéphalie à pression normale une mise à jour Aerzteverlag medinfo AG , On imaging, it can be characterized both on CT and MRI by enlarged lateral and third ventricles out of proportion. L'incidence de l'hydrocéphalie à pression normale est de 5,5 personnes sur 100 000 par an
Source: lennixalo.pages.dev Hydrocéphalie chronique et autres pathologies chroniques du liquide cérébrospinal Fiche santé HCL , En raison de cette accumulation, les ventricules se dilatent et peuvent endommager ou détruire les tissus cérébraux. L'hydrocéphalie à pression normale (HPN) a été décrite pour la première fois en 1965 par Adams et Hakim
Source: amidesfzc.pages.dev Hydrocéphalie à pression normale définition, cause, symptômes, traitement , Dans certains cas, l'hydrocéph-alie à pression normale peut résulter de: blessure à la tête, méningite, encéphalite, hémorragie, tumeur ou kystes Voici les symptômes causés Les médecins suspectent une hydrocéphalie à pression normale lorsque les personnes ont les trois symptômes typiques : Difficultés à marcher
Source: pmasachfp.pages.dev Hydrocéphalie à pression normale Banque de photographies et d’images à haute résolution Alamy , Le plus souvent, les troubles de la marche dans l'hydrocéphalie à pression normale sont habituellement peu spécifiques avec une instabilité et des troubles de l'équilibre, bien qu'une démarche magnétique (les pieds apparaissant comme collés au plancher) soit considérée comme caractéristique. L'hydrocéphalie à pression normale (HPN) a été décrite pour la première fois en 1965 par Adams et Hakim
Source: fivemrpfpj.pages.dev Qu'estce que l'hydrocéphalie ? Association Tête en l'air , It is classically characterized by the triad of gait apraxia/ataxia, urinary incontinence, and cognitive impairment, although not all patients with the condition have all three 31. Elle est également appelée hydrocéphalie « à pression normale » par les Anglo-Saxons
Source: volvtecnlz.pages.dev Normal pressure hydrocephalus Radiology at St. Vincent's University Hospital , La démence peut n'apparaître qu'à un stade tardif du trouble. Le risque chirurgical est faible, et les patients peuvent ensuite vivre comme ils en avaient l'habitude.
Source: smartmenaoq.pages.dev Hydrocéphalie à pression normale , Le risque chirurgical est faible, et les patients peuvent ensuite vivre comme ils en avaient l'habitude. Sa définition reposait sur la triade clinique associant troubles cognitifs, de la marche et sphinctériens en lien avec une dilatation des ventricules et une pression du liquide céphalorachidien (LCR) à la ponction lombaire (PL) normale [1].
Source: scaleappnzx.pages.dev Hydrocéphalie à pression normale causes, symptômes, diagnostic et traitement esculape , Causes Dans la majorité des cas, la cause de l'hydrocéphalie à pression normale est inconnue Normal pressure hydrocephalus remains a controversial entity with often ambiguous imaging findings
Source: luckypipfie.pages.dev L’hydrocéphalie chronique de l’adulte, ou hydrocéphalie « à pression normale » Neurologies , Le risque chirurgical est faible, et les patients peuvent ensuite vivre comme ils en avaient l'habitude. L'incidence de l'hydrocéphalie à pression normale est de 5,5 personnes sur 100 000 par an
Hydrocéphalie, valves et… Neurochirurgie SCP Neurochirurgiens . Hydrocephalie definition traitements Trouver un établissement Rechercher un médecin Contactez-nous Trouver un Elle est également appelée hydrocéphalie « à pression normale » par les Anglo-Saxons
Hydrocéphalie à pression normale symptômes et diagnostic . Cependant, le diagnostic de l'hydrocéphalie à pression normale ne peut pas se baser sur des symptômes seuls, particulièrement chez les personnes âgées. l'hydrocéphalie à pression normale ont plus de 60 ans)